失った歯の代わりは、取扱が面倒な「取り外し入れ歯」から自分の歯に限りなく近い「インプラント」に進化しています。
第2の永久歯と言われるインプラントとは、失われた歯のあごの骨の部分に人工歯根を埋め込み、その上に人工歯を取り付ける治療です。
ガタツキや外れる心配も、やっかいな手入れもいりません。
食事も美味しくいただけて、会話もスムーズです。
チタンでできた人工の歯根を顎骨内に埋入し、天然歯と同様に噛み合わせできる状態にする治療法です。最先端の歯科用CTを完備しているため正確な診断、的確な治療計画が受けられます。
また、画期的な組織再生治療「PRGF ENDRET」を日本で初めて取り入れ、安全・スピーディーに薄くなったあごの骨を再生しながらの治療も行っております。最近では2か所のインプラントを利用した特殊なホックでガタガタした入れ歯をがっちり固定する方法もあります。

1.カウンセリング:
歯が失われた理由も、口の中の状況も一人ひとり違います。口腔内の状態は患者様毎に状況が異なりますのでひとりずつ丁寧なカウンセリングを行い、個人に合った治療法を決定していきます。

2.診査・診断:
3次元CT、問診、触診、レントゲン写真、お口の中の模型、お口の中の写真を参考に、インプラント治療が可能かどうか、治療の進め方を計画し、詳しくご説明いたします。

3.インプラント手術:
歯を失った所へインプラントを埋め込んだ後、あごの骨にしっかりと結合するまで、1ヶ月~4ヶ月ほど待ちます。 ※骨の状態など様々な条件により異なります。

4.メンテナンス:
インプラント治療後は、正しいホームケアを行うとともに、医師の指示に従った定期検診が必要です。当院は術後経過もCTで診査しアフターケアも万全です。
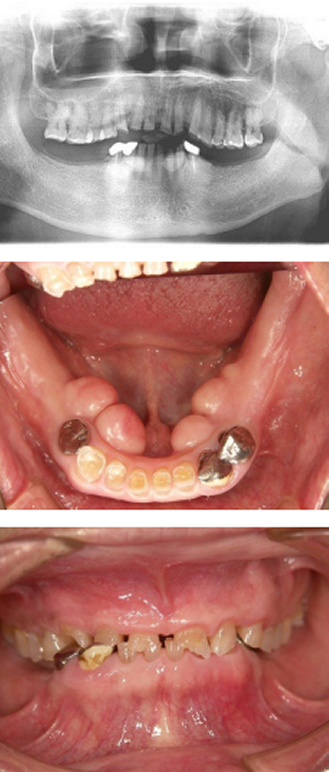
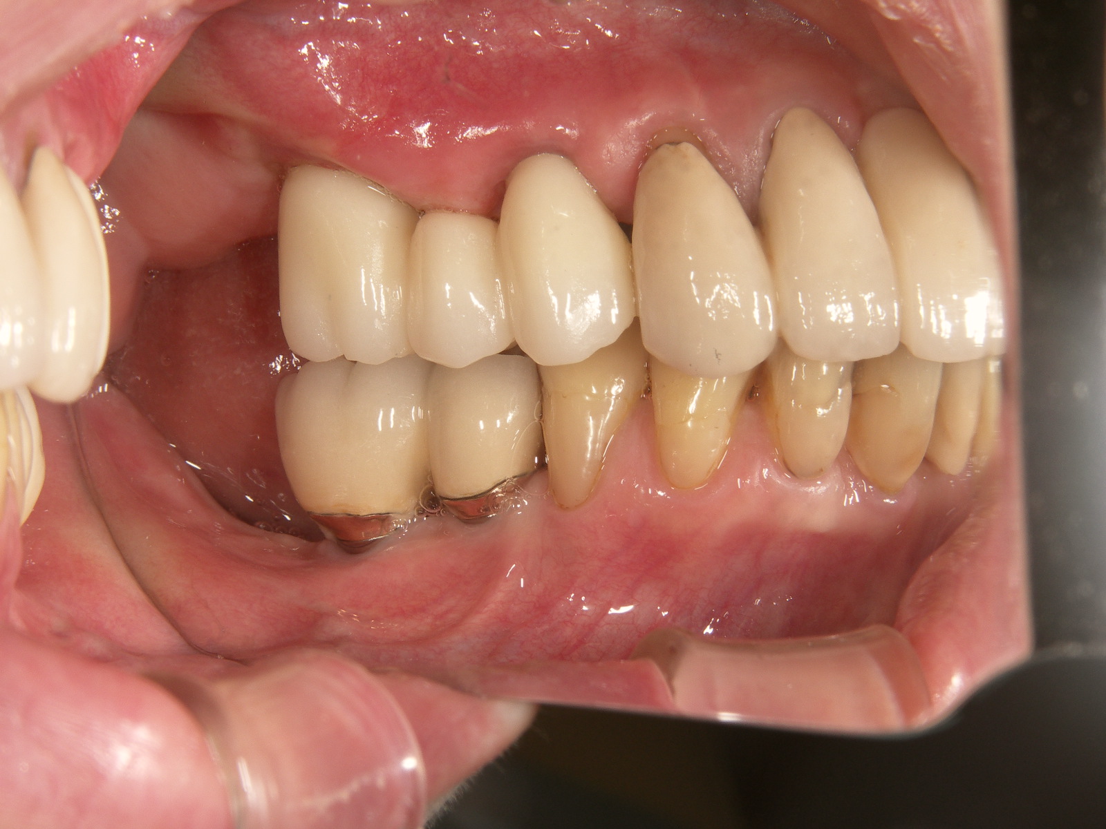
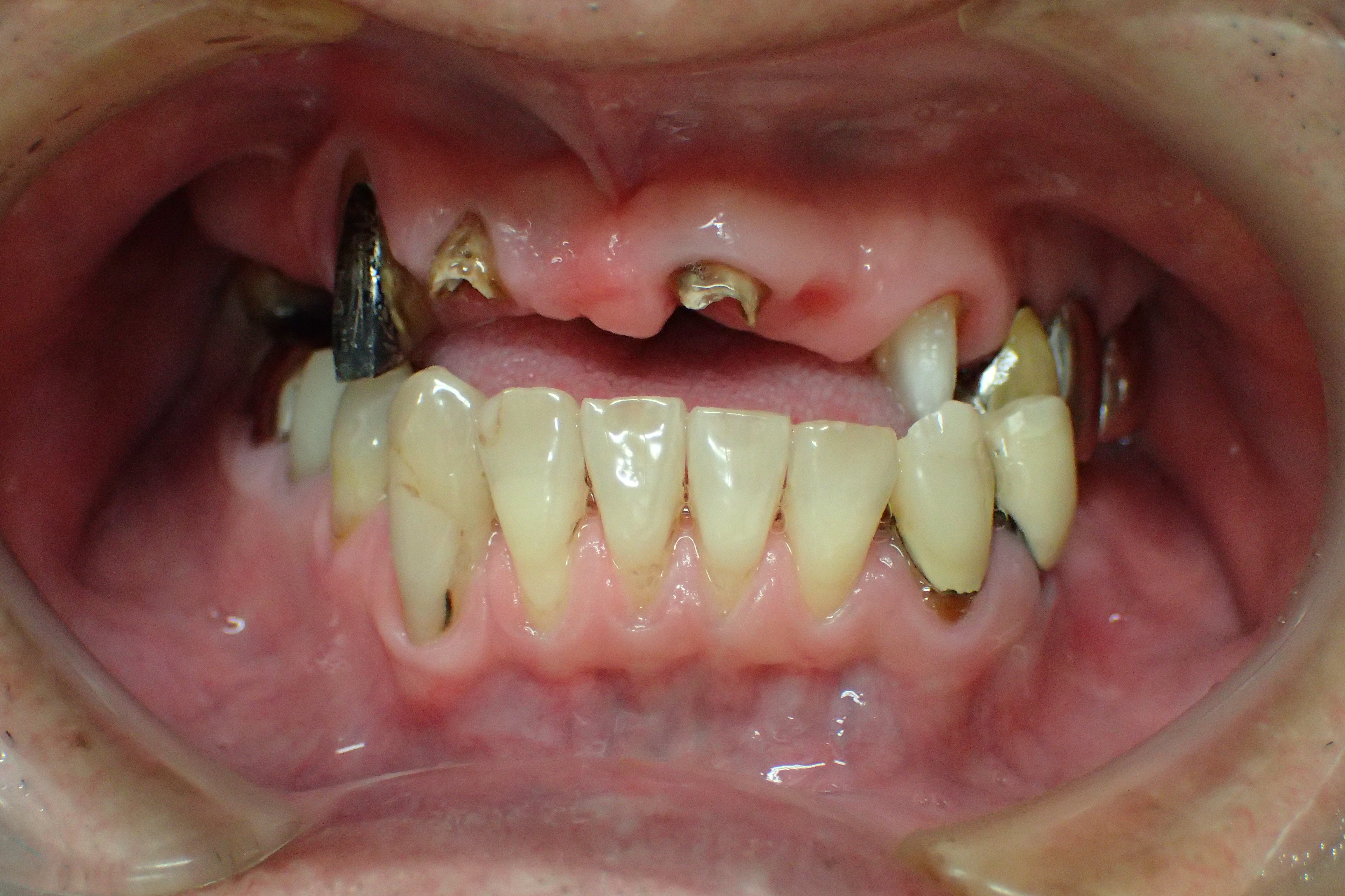
インプラント咬合改善症例

インプラント施術前
下あごの奥歯がなく、食いしばりが強いため前歯もすり減ってしまいました。

インプラント施術後
インプラントを6本埋入してかみ合わせも適当な高さに改善、前歯もセラミックをかぶせて見た目も改善しました。

担当歯科医師 佐藤文昭



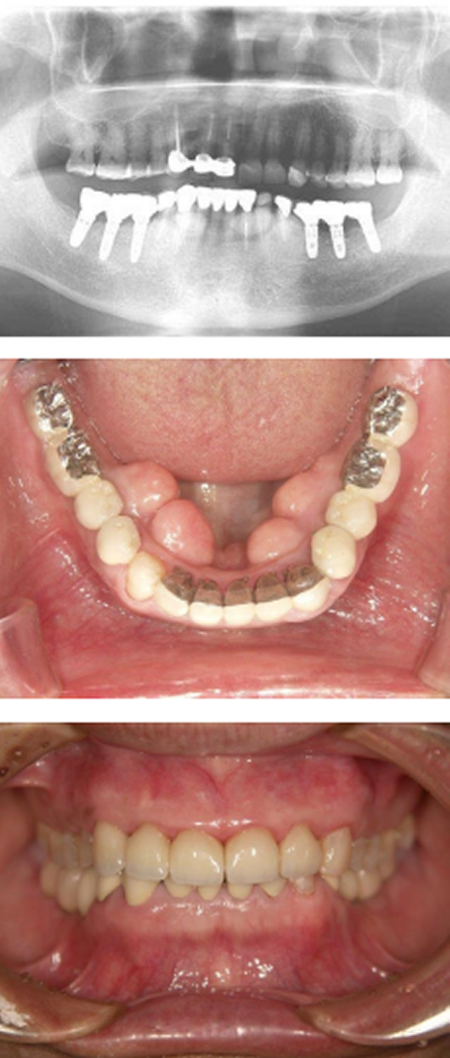
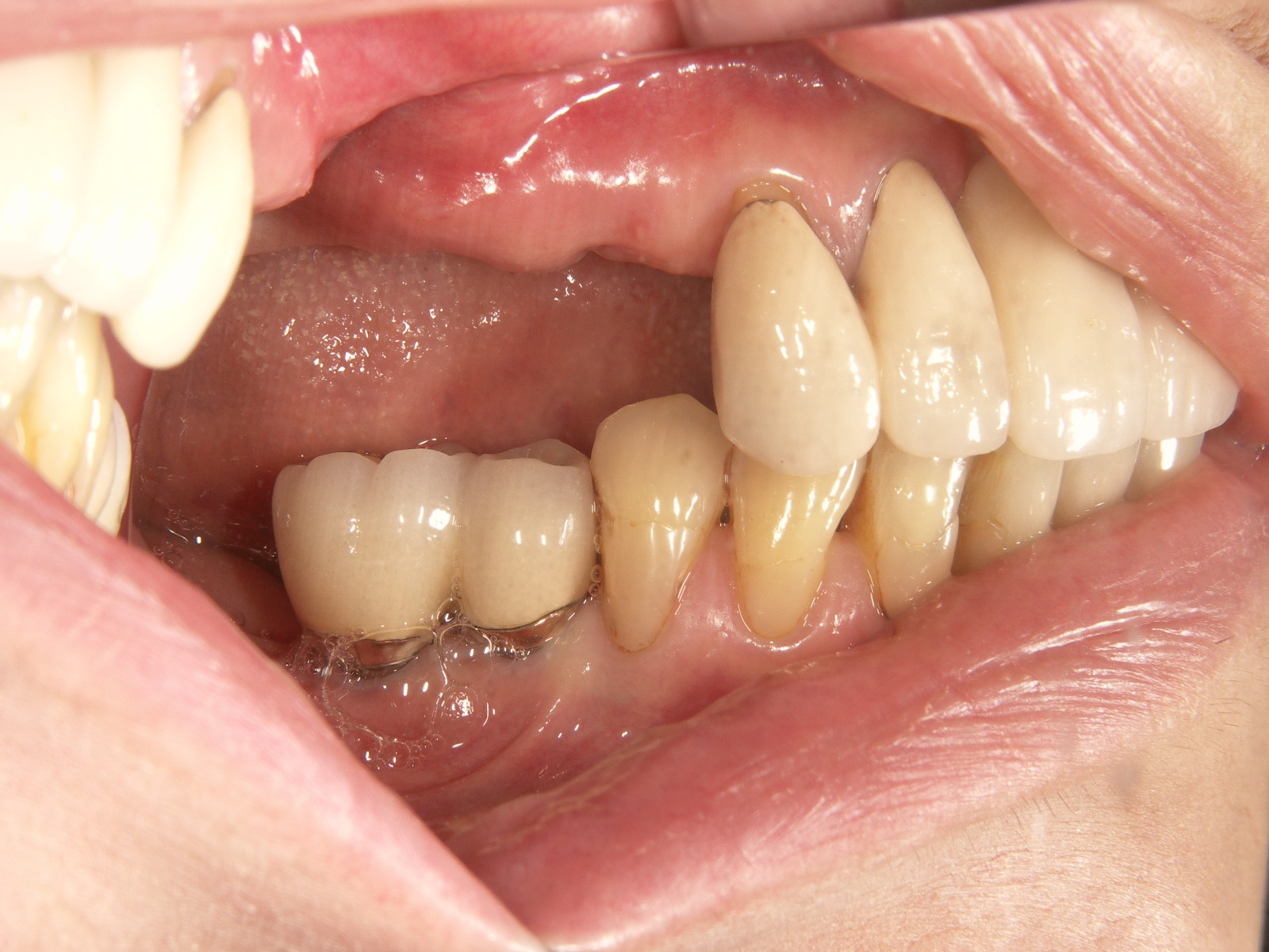
インプラント義歯症例



2本のインプラントで義歯がしっかり固定されます
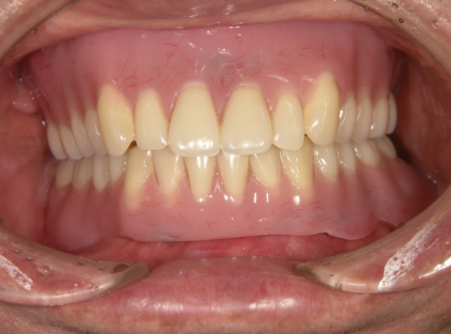
前歯インプラント症例


20代。交通事故で前歯を欠損。インプラント施術によって入れ歯から解放され前歯でしっかり食事できるようになりました。
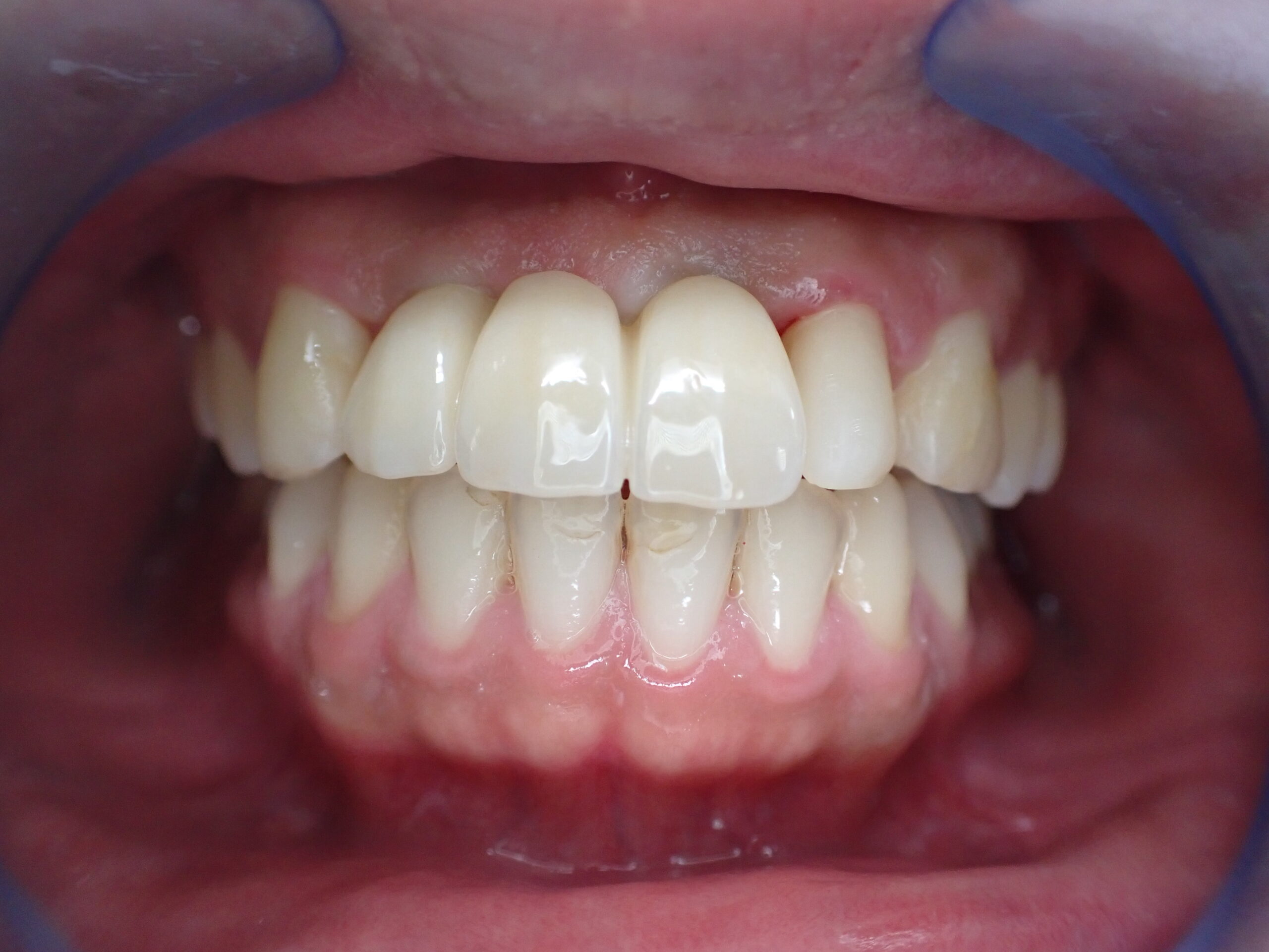
上あご奥歯インプラント症例


右下奥歯もインプラントです。異物感の大きい上下の入れ歯から解放されました。
前歯インプラント症例


ブリッジではもう直せない症例です。インプラントで修復しました。
インプラント治療Q&A
インプラント治療時は痛みはありますか?
手術時は麻酔をするのでそれほど痛みはありません。
手術後多少、痛みや腫れが出る場合もありますが3~4日でおさまります。
手術後多少、痛みや腫れが出る場合もありますが3~4日でおさまります。
入院が必要な手術なのですか?
ほとんどの場合、入院の必要はありません。手術時間は2時間以内で日帰りできます。
インプラント手術は誰でも受けられるのですか?
ほとんどの人が受けられますが、インプラントを埋め込む
顎の骨が少なくなっている方はPRGF ENDRET治療によって骨を再生しながらの
治療になる場合もあります。また、身体に大きな問題がある方や
主治医の判断でインプラント治療の行えない場合もあります。
顎の骨が少なくなっている方はPRGF ENDRET治療によって骨を再生しながらの
治療になる場合もあります。また、身体に大きな問題がある方や
主治医の判断でインプラント治療の行えない場合もあります。
歯を抜いてからどのくらいでインプラント手術は受けられるのですか?
歯槽骨が出来るのに3~5カ月待ってから、と一般的には言われていますが
当医院ではPRGFENDRET治療により、すぐに手術が出来る場合もあります。
当医院ではPRGFENDRET治療により、すぐに手術が出来る場合もあります。
治療にはどのくらいの期間がかかるのですか?
インプラントの種類、個人に合わせた手術方法や
上の歯か下の歯かによっても違ってきます。
またむし歯、歯周病、嚙み合わせ治療などがあれば
平均1~12カ月ほどかかる場合もあります。
上の歯か下の歯かによっても違ってきます。
またむし歯、歯周病、嚙み合わせ治療などがあれば
平均1~12カ月ほどかかる場合もあります。
骨に金属を埋め込んで身体に悪影響はないのですか?
身体になじみやすく、腐食しない金属で拒絶反応を起こさせない材料だけを使用するので影響はありません。
歯以外に病気がある場合でも、インプラント治療は受けられますか?
病気の程度にもよりますが、糖尿病・腎臓、肝臓の病気・呼吸器系や
心臓病などを疾患している方、高・低血圧の方は主治医にご相談ください。
また妊婦の方は出産 後をオススメします。
心臓病などを疾患している方、高・低血圧の方は主治医にご相談ください。
また妊婦の方は出産 後をオススメします。
サッカーボールがあたった、自転車でころんだ。などで歯を失った場合でも大丈夫ですか?
スポーツや事故で失った歯の場合、周りの歯は健康な歯の場合がほとんどです。
インプラント治療なら周りの歯を削らずにすむのでオススメです。
インプラント治療なら周りの歯を削らずにすむのでオススメです。
インプラント手術を受けるのに年齢制限はありますか?
年齢制限はありませんが、顎の骨の成長が止まる18歳以上からをオススメします。上限はありません。
お電話でのご相談はこちらまで
お電話でのご相談はこちらまで
03-3835-8160
03-3835-8160
- ・うまく物が噛めない
- ・飲み込みが悪くなった
- ・健康な歯を削るのはイヤだ
- ・食事をするのに違和感があるのはイヤだ
- ・スポーツで奥歯を嚙みしめる
- ・友人との旅行中、入れ歯の洗浄は恥ずかしい
- ・やっぱり正月は餅が食べたい