お問い合わせ アクセス

歯列矯正

歯並びを改善し、口腔環境を改善します

歯列矯正

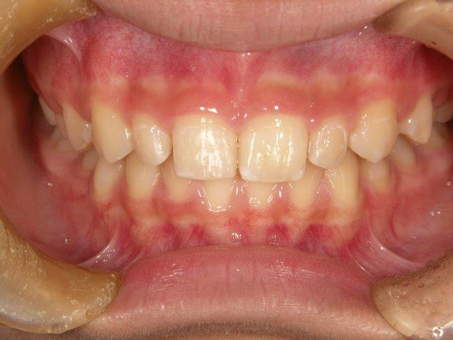
矯正前
[20台女性]
前歯が開いていて見た目が不自然でした。
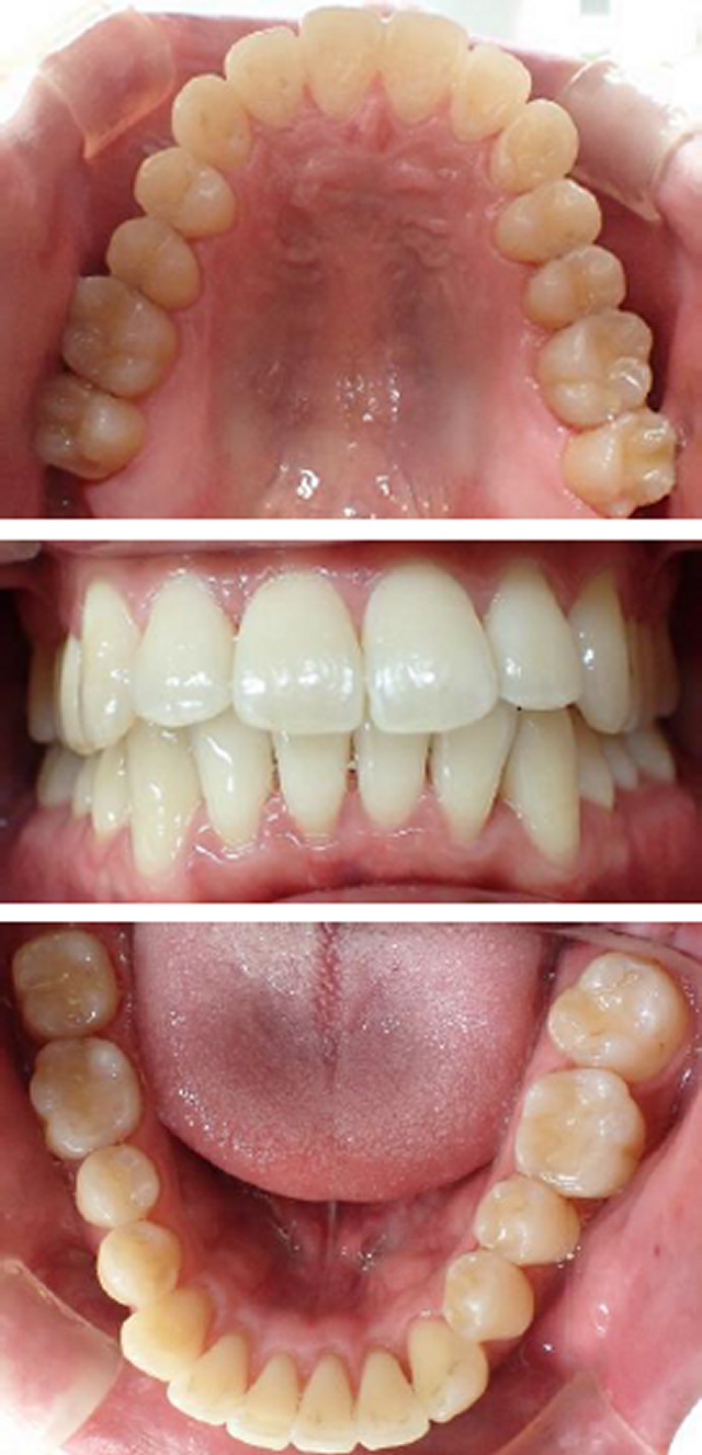
矯正後
歯列矯正で早期に治療終了しました。
担当歯科医師 島田啓示

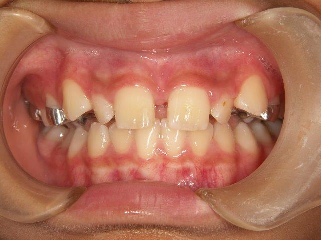
施術前
[子供の顎顔面矯正症例]
顎の骨を広げることで 歯が並ぶスペースを作ります
施術中
施術中です。
矯正後
小学生の適当な時期に歯列矯正を開始すれば 健康な歯を抜いて矯正しなくても きれいな歯が並びます
担当歯科医師 佐藤文昭

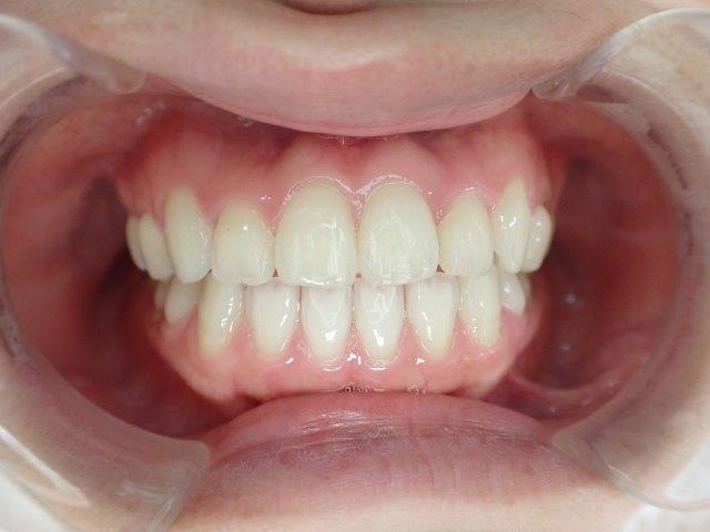
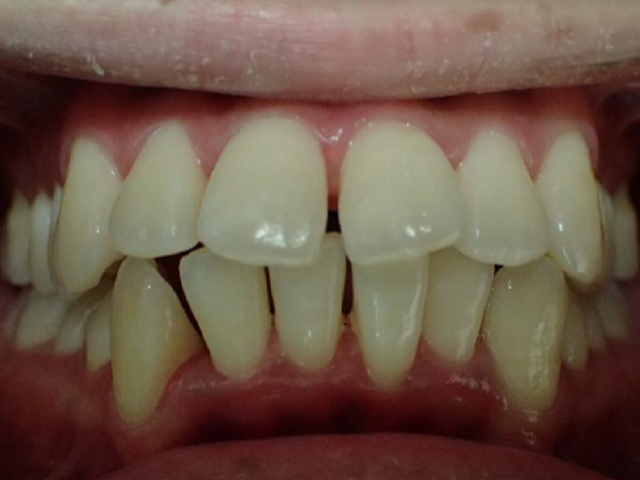
施術前
[歯列矯正例]
前歯が重なっています。
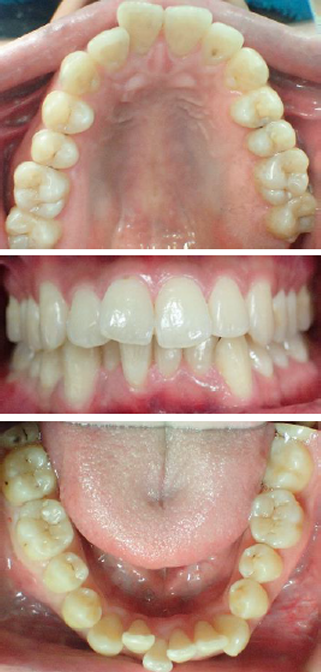
矯正後
歯列矯正で自然な感じに並びました。
担当歯科医師 島田啓示

施術前
[歯列矯正例]
まず歯がきれいに並ぶためのスペースを作ります。
矯正後
マウスピース矯正の症例です。ワイヤーは使用しませんが患者様は食事時間以外、マウスピースを口腔内に入れていなければなりません。また

①骨格性不正
②深すぎるかみ合わせ
③歯並びの著しい乱れ

などはマウスピース矯正の適応外になります。
担当歯科医師 島田啓示
  • 食べ物が詰まる
  • うまく歯がみがけない
  • 笑顔で写った写真を見ると歯並びが気になる
  • 口臭が気になる

歯並びを改善し、口腔環境を改善します

RETURN TOP