審美歯科・ホワイトニング

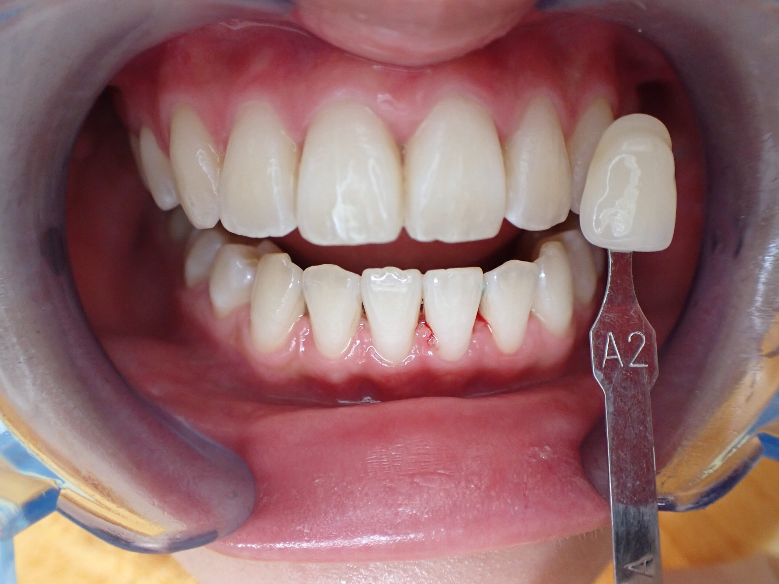
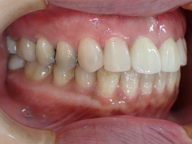
施術前
オフイスホワイトニング実施例です

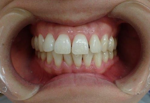
施術後
一回の施術で白く明るくなりました

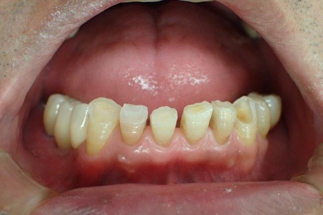
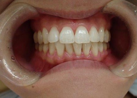
施術前
コンポジットレジンを詰めて修復しました

施術後
2回の通院で終了しました

担当歯科医師 古市哲也

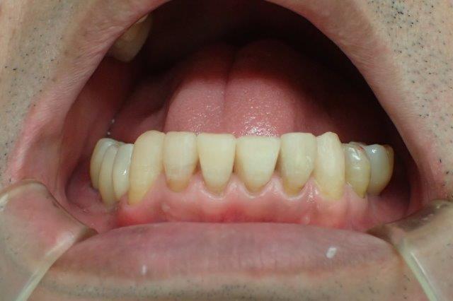
施術前
右前歯のコンポジットレジンを詰め替かえました

施術後
30分で治療終了しました

担当歯科医師 古市哲也

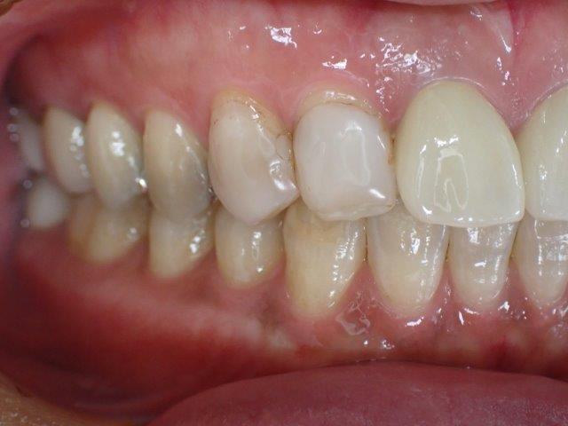
施術前
前歯の隙間をコンポジットレジンで接着してあります

施術後
30分で治療終了しました

担当歯科医師 村山良介